Cmv Esophagitis Hsv Esophagitis Histology : Pathology Outlines Herpes Simplex Esophagitis / The aims of this study were to investigate the implications of the endoscopic findings for the.

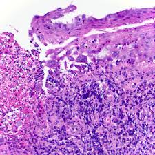
Cmv Esophagitis Hsv Esophagitis Histology : Pathology Outlines Herpes Simplex Esophagitis / The aims of this study were to investigate the implications of the endoscopic findings for the.. Differential diagnosis between herpes simplex virus (hsv) esophagitis and cytomegalovirus (cmv) esophagitis is challenging because there are many similarities and overlaps between their endoscopic features. Esophagitis can cause painful, difficult swallowing and chest pain. Velvet mucosa on endoscopy becomes barrett's epithelium when histology features columnar metaplasia. Associated reflux esophagitis, ulceration, bleeding, perforation • herpes simplex and cmv: Cytomegalovirus esophagitis is a form of esophagitis associated with cytomegalovirus.

Comorbid occurrence of laryngeal or pulmonary disease with esophagitis in united states military veterans // gastroenterology. Peptic strictures cause a gradually progressive dysphagia for solid foods. Esophagitis can cause painful, difficult swallowing and chest pain. Velvet mucosa on endoscopy becomes barrett's epithelium when histology features columnar metaplasia. The cases of esophagitis caused by hsv can be endoscopically characterized by multiple ulcers as they are punched out with sharp edges or borders.

Atypical Manifestation Of Herpes Esophagitis In An Immunocompetent Patient Case Report And Literature Review
Atypical Manifestation Of Herpes Esophagitis In An Immunocompetent Patient Case Report And Literature Review from f6publishing.blob.core.windows.net
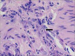
„ histology shows koilocytosis (atypical ringed nucleus), giant cells. Symptoms include dysphagia, upper abdominal pain, diarrhea, nausea, vomiting, and sometimes hematemesis. Also, they may be deep to the surface. Hsv infects the esophageal squamous epithelial cells and, therefore, histologic confirmation of hsv esophagitis is accomplished by obtaining biopsy. Associated reflux esophagitis, ulceration, bleeding, perforation • herpes simplex and cmv: It connects the pharynx to the stomach; Untreated esophagitis may progress to metaplastic columnar epithelium similar to barrett's esophagus in. If you have a health.

Velvet mucosa on endoscopy becomes barrett's epithelium when histology features columnar metaplasia.

Hsv infects the esophageal squamous epithelial cells and, therefore, histologic confirmation of hsv esophagitis is accomplished by obtaining biopsy. It connects the pharynx to the stomach; Ulcerative esophagitis, on the other hand, warrants a more guarded prognosis. Macrophage aggregates in perivascular distribution are somewhat specific for cmv or hsv (hum pathol 1997;28:375); If left untreated, esophagitis can damage the lining of the. Features are less obvious in patients receiving antiviral therapy. Animals with mild esophagitis generally have a favorable prognosis. „ diagnosis made by presence of histologic finding of intranuclear inclusions using. Also, they may be deep to the surface. Evaluation and management of infectious esophagitis in immunocompromised and immunocompetent individuals. The cases of esophagitis caused by hsv can be endoscopically characterized by multiple ulcers as they are punched out with sharp edges or borders. Cytomegalovirus (cmv) infection of the gastrointestinal tract is usually seen in patients who are severely immunocompromised, such as solid organ transplantation and is cmv esophagitis. Cmv esophagitis usually affects immunosuppressed or immunodeficient people.

Untreated esophagitis may progress to metaplastic columnar epithelium similar to barrett's esophagus in. Esophagitis is when the lining of your esophagus becomes irritated and inflamed. Peptic strictures cause a gradually progressive dysphagia for solid foods. A clinical case in a child was given. Esophagitis can cause painful, difficult swallowing and chest pain.

Disorders Of The Esophagus Ppt Video Online Download
Disorders Of The Esophagus Ppt Video Online Download from slideplayer.com
Congenital esophageal stenosis, corrugated ringed esophagus, and eosinophilic esophagitis. Velvet mucosa on endoscopy becomes barrett's epithelium when histology features columnar metaplasia. Esophagitis is the second most common gastrointestinal (gi) manifestation of cytomegalovirus (cmv) infection after colitis. The esophagus is the tube that connects the back of your throat to your who is at risk for infectious esophagitis? If left untreated, esophagitis can damage the lining of the. Symptoms include dysphagia, upper abdominal pain, diarrhea, nausea, vomiting, and sometimes hematemesis. Swallowed food and liquids normally pass through it. This condition occurs in the setting of patients with a weakened immune system who are susceptible.

Macrophage aggregates in perivascular distribution are somewhat specific for cmv or hsv (hum pathol 1997;28:375);

Esophagitis caused by cmv infection, most commonly occurring in patients with immunocompromise1,2,3. Ulcerative esophagitis, on the other hand, warrants a more guarded prognosis. Cytomegalovirus esophagitis is a form of esophagitis associated with cytomegalovirus. If left untreated, esophagitis can damage the lining of the. Causes of esophagitis include stomach acids backing up into the esophagus treatment for esophagitis depends on the underlying cause and the severity of tissue damage. Untreated esophagitis may progress to metaplastic columnar epithelium similar to barrett's esophagus in. The esophagus is a tube composed of a mucosal lining, and longitudinal and circular smooth muscle fibers. Differential diagnosis between herpes simplex virus (hsv) esophagitis and cytomegalovirus (cmv) esophagitis is challenging because there are many similarities and overlaps between their endoscopic features. В современной классификации пищевой аллергии отдельно выделена группа эозинофильных. Esophagitis, also spelled oesophagitis, is a disease characterized by inflammation of the esophagus. Eosinophilic esophagitis attributed to gastroesophageal re. Esophagitis can cause painful, difficult swallowing and chest pain. Comorbid occurrence of laryngeal or pulmonary disease with esophagitis in united states military veterans // gastroenterology.

People with a normal immune system are not likely to get infectious esophagitis. Hsv infects the esophageal squamous epithelial cells and, therefore, histologic confirmation of hsv esophagitis is accomplished by obtaining biopsy. Peptic strictures cause a gradually progressive dysphagia for solid foods. As the practice shows, hypodiagnostics of eosinophilic esophagitis and other eosinophilic gastrointestinal diseases takes place. Congenital esophageal stenosis, corrugated ringed esophagus, and eosinophilic esophagitis.

Esophagitis Cancer Therapy Advisor
Esophagitis Cancer Therapy Advisor from www.cancertherapyadvisor.com
Cytomegalovirus (cmv) infection of the gastrointestinal tract is usually seen in patients who are severely immunocompromised, such as solid organ transplantation and is cmv esophagitis. This condition occurs in the setting of patients with a weakened immune system who are susceptible. Esophagitis can cause painful, difficult swallowing and chest pain. If you have a health. Cobblestone esophagitis (эзофагит со слизистой булыжной мостовой). It causes esophageal ulcers with very painful and difficult swallowing. Causes of esophagitis include stomach acids backing up into the esophagus treatment for esophagitis depends on the underlying cause and the severity of tissue damage. As the practice shows, hypodiagnostics of eosinophilic esophagitis and other eosinophilic gastrointestinal diseases takes place.

Associated reflux esophagitis, ulceration, bleeding, perforation • herpes simplex and cmv:

Esophagitis caused by cmv infection, most commonly occurring in patients with immunocompromise1,2,3. The esophagus is a tube composed of a mucosal lining, and longitudinal and circular smooth muscle fibers. Causes of esophagitis include stomach acids backing up into the esophagus treatment for esophagitis depends on the underlying cause and the severity of tissue damage. The esophagus is the tube that connects the back of your throat to your who is at risk for infectious esophagitis? Associated reflux esophagitis, ulceration, bleeding, perforation • herpes simplex and cmv: Swallowed food and liquids normally pass through it. Causes of esophagitis include stomach acids backing up into the esophagus treatment for esophagitis depends on the underlying cause and the severity of tissue damage. Ulcerative esophagitis, on the other hand, warrants a more guarded prognosis. The aims of this study were to investigate the implications of the endoscopic findings for the. Cytomegalovirus esophagitis is a form of esophagitis associated with cytomegalovirus. It connects the pharynx to the stomach; Esophagitis can cause painful, difficult swallowing and chest pain. Esophagitis is the second most common gastrointestinal (gi) manifestation of cytomegalovirus (cmv) infection after colitis.

Cmv esophagitis usually affects immunosuppressed or immunodeficient people hsv esophagitis histology. In contrast, cmv esophagitis often occurs as part of a disseminated cmv infection that can involve the stomach, intestine, and a number of other organs.

Comments